Необычные находки в сибирских термальных источниках

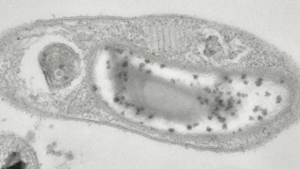
Ученые из Томска и Москвы совершили поистине удивительное открытие, подробно описав уникальный микроорганизм Desulforudis audaxviator. Этот житель глубин прекрасно обходится без солнечного света и воздуха, продолжая существовать там, где другим формам жизни не выжить. Долгое время ДНК Desulforudis audaxviator была известна только по находкам из рудников Южной Африки, однако именно микробиологи России впервые представили исчерпывающую характеристику этого необычного вида, выделив его из вод термальных источников Томской области.
Стоит подчеркнуть, что генетическая последовательность сибирской Desulforudis audaxviator оказалась абсолютно идентичной геному африканских аналогов. Такое открытие буквально потрясло научное сообщество, ведь оно свидетельствует о невероятном постоянстве вида на протяжении сотен миллионов лет. Фактически, этот организм словно "законсервировался" еще во времена существования гигантского суперконтинента Пангеи, что опровергает привычные научные взгляды на обязательное и постоянное накопление мутаций у всех живых существ.
Потенциал для поиска жизни на других планетах
Desulforudis audaxviator способна выживать в экстремальных условиях, сравнимых с поверхностью Марса. Такой феномен существенно расширяет горизонты исследований, позволяя ученым уверенно утверждать, что жизнь может существовать даже там, где ранее это казалось невозможным. В тех же скважинах на территории Западной Сибири специалисты обнаружили еще один примечательный вид — Desulfosceptrum tomskiensis. Этот "родственник" Desulforudis audaxviator отличается тем, что продолжает эволюционировать, не застывая в развитии так же, как его уникальный сибирский сородич.
Исследователи отмечают, что различия в темпах изменения этих микроорганизмов напрямую зависят от глубины, на которой они обитают, и силы ионизирующего излучения, воздействующего на них. Понимание таких тонкостей не только раскрывает новые грани выживания на Земле, но и дает мощный импульс для поиска и изучения жизни во Вселенной. Новое открытие микробиологов из Томска и Москвы задает тон правильному, оптимистичному взгляду на перспективы науки о жизни — как земной, так и за ее пределами.
Вклад российских ученых невозможно переоценить: их работа показывает всему миру, насколько мало мы еще знаем о микромире, скрытом под нашими ногами, и как невероятны его возможности. Исследования сибирских бактерий превращают даже фантастические идеи о жизни в экстремальных условиях в прекрасную, вдохновляющую реальность.
Источник: www.kommersant.ru






